Disease

What is Hallux Valgu disease?

Op. Dr. Özgür Oktay Nar|

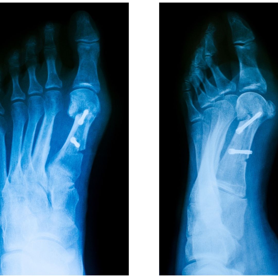
Big toe pain is the protrusion of the first toe, called hallux valgu, in the joint of the big toe with the increase of the angle made by a finger.

Big toe pain is the protrusion of the first toe, called hallux valgu, in the joint of the big toe with the increase of the angle made by a finger.

Foot pain is one of the most common complaints of our patients presenting to the orthopedic outpatient clinic due to pain. There are two most common causes of foot pain. Heel pain and big toe pain. The way the first toe of the big toe opens towards the other fifth toe and there is an opening here with the comb bone coming inward. The event is actually a swelling in the foot. But from the outside, it is not only the bone that causes pain. A swelling occurs under the membrane surrounding the bone and the skin around it and in the shoe due to the trauma against impacts.
The most common cause of pain in patients’ feet is that the membrane surrounding the joint under the skin gives the impression that there is a bone protrusion from the outside.

In the first stage of the disease, swelling appears as redness and pain. In the second and third stages, the complaint gradually increases. You see that the joint here deteriorates.
In the last stage, two fingers go on top of one finger, in other words, contrary to what is affected, it is said that the bone has protruded on the big toe, but in fact it is a protrusion of the bone itself. We classify it in four stages, the first stage is swelling and redness of the skin under the skin, the second stage is that it comes towards the inner part of the metacarpal bone, the third stage is that the nail part of one finger goes outwards, and in the fourth stage, the pain intensifies and one finger comes on top of two fingers.

Complaints in Hallux Valgu
Patients with Hallux Valgu disease present to the outpatient clinic with pain and deformity. Apart from this, they have difficulties in choosing shoes. Wearing shoes with a narrow front reveals one of the biggest symptoms of the disease. Patients with bone protrusion on the big toe cannot wear narrow shoes. They have to wear round or sneakers with a wide front. Genetics is at the forefront in Hallux Valgu disease. If your family members have toe problems, you should not wear high heels and narrow shoes.

Hallux Valgu Disease can occur in the early stages as well as with advancing age. However, it is more common in women than in men. Especially after the 40s, the likelihood of this disease is very high.

People with weight gain, flat feet, high foot dome are highly likely to have a protrusion on the big toe. In patients with rheumatic diseases, the soft tissue imbalance caused by rheumatism may disrupt the alignment of the toes.
With more than 20 years of experience, we serve our patients in our polyclinic. You can contact us for all your hallux valgu problems. For this, you can contact us at any time through the channels on our web page.