Radius Kırığı

Radius kırığı genellikle ileri yaştaki hastalarda görülmektedir. Ön kol ekleminin bir parçası olan Radius kemiği, karpal kemiklere destek sağlamaktadır. Radius kırığı çoğunlukla kadınlarda görülmektedir.
Radius kemiği üst ucunda, gövdede veya alt kısmında oluşacak kırıklar daha çok yaşlı insanlarda görülmektedir. Radius kırıkları, el üzerine düşme sebebiyle ya da şiddetli bir çarpma sonucu meydana gelebilmektedir. Kemiğin baş bölümündeki kırıklar sıklıkla genç hastalarda görülebilmektedir.
Radius Kırığı Tedavisi
Radius kırığı tedavisi, kırığın tam olarak hangi bölgede oluştuğu ve kırık derecesinin ne kadar olduğuna bakılarak yapılır. Bazı Radius kırıkları, kırık olan bölgenin bandaj ile sarılması yöntemiyle tedavi edilebileceği gibi, bazı kırık tiplerinde de cerrahi müdahale gerektirebilmektedir. Çok ciddi olmayan kırıklarda alçı veya atel gibi tedavi yöntemleri yapılabilmektedir.
İleri yaştaki hastalarda meydana gelen Radius kırıkları, hastanın genel sağlığını etkileyebileceği için genellikle cerrahi müdahale yapılır.
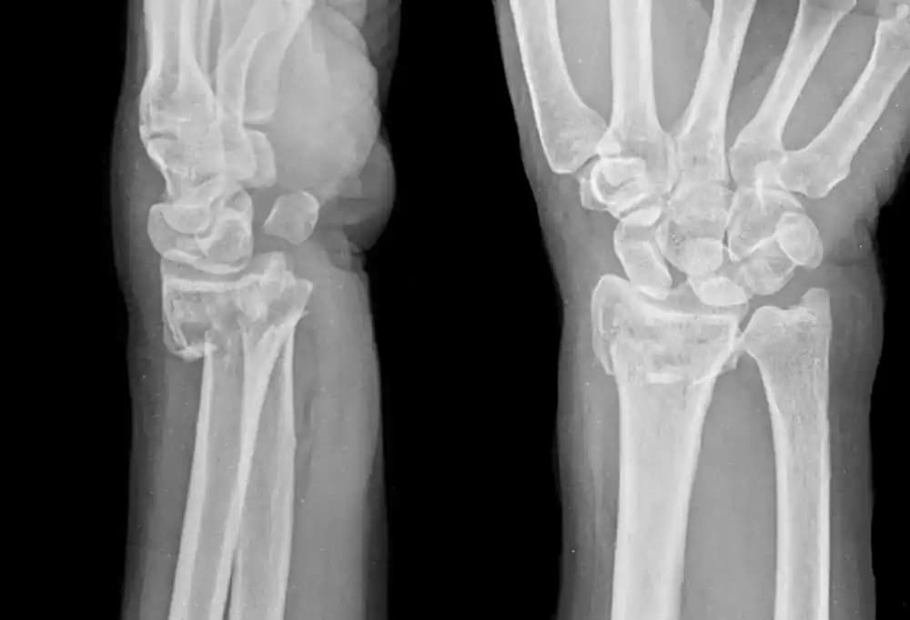
Radius kırığı tespiti için fiziki muayene ve röntgen çekimi yapılır. Röntgen çekiminde görülemeyen minimal derecedeki kırıklarda hastalanın kolu atele alınarak tedavi yöntemine başlanır. Atel ile tedavi yönteminde hastalardan kollarını çok fazla yormamaları ve oynatmamaları istenir. Atel ile tedavi yönteminde, minimal derecedeki kırıklar için tahmini iyileşme süresi 3 haftadır.
Radius kırıklarında kemiklerin ayrılma derecesi çok fazla olduğu durumlarda ameliyat kaçınılmazdır. Ameliyat sırasında cerrahlar genellikle kemikleri metal vidalar ve pinler ile sabitler. Kırık ile birlikte bağ yırtıkları da ameliyat sırasında tedavi edilmektedir.
Radius Kırığı Ameliyatı
Ameliyat kararı, sıklıkla ikinci ve üçüncü tip Radius kırıklarında alınmaktadır. İleri derecedeki Radius kırıkları, röntgen ile görüntülenebildiği için tanı koymak ve ameliyat kararı almak daha kolay olmaktadır. Özellikle üçüncü tip kırıklar, çok parçalı kırıklar olduğundan ve kırık ile birlikte bağ dokusunun da zedelenmiş olmasından dolayı, ameliyat sırasında kırıklara ve bağ dokularına aynı anda müdahale edilir. Radius kemik başında oluşan ciddi kırıklarda protez kullanılarak bir ameliyat gerçekleşmesi mümkündür.
Ameliyat sonrasında hastanın kolunu rahatlıkla kullanabilmesi için bir süre fizik tedavi uygulanması gerekmektedir. Kırık tipine uygun olarak yapılan fiziksel hareketler eklemlerdeki hareket kısıtlanmasını çözecek ve kolun güç kaybına uğramaması sağlanacaktır.