Kalça Ağrısı Femoroasetabular Sıkışma (FAS / FAI) Nedir?

Femoroasetabular sıkışma (FAS, İng. FAI), kalça ekleminde femur başı (topuz) ile asetabulumun (soket) anormal temas etmesi sonucu gelişen, ağrı ve zamanla kıkırdak hasarına yol açabilen bir durumdur. Tekrarlayan sürtünme ve çarpışma labrum yırtığına, kıkırdak bozulmasına ve uzun vadede erken koksartroza (kalça kireçlenmesine) neden olabilir. Özellikle genç, aktif ve sporcu popülasyonunda sık görülür; ancak her yaşta ortaya çıkabilir.
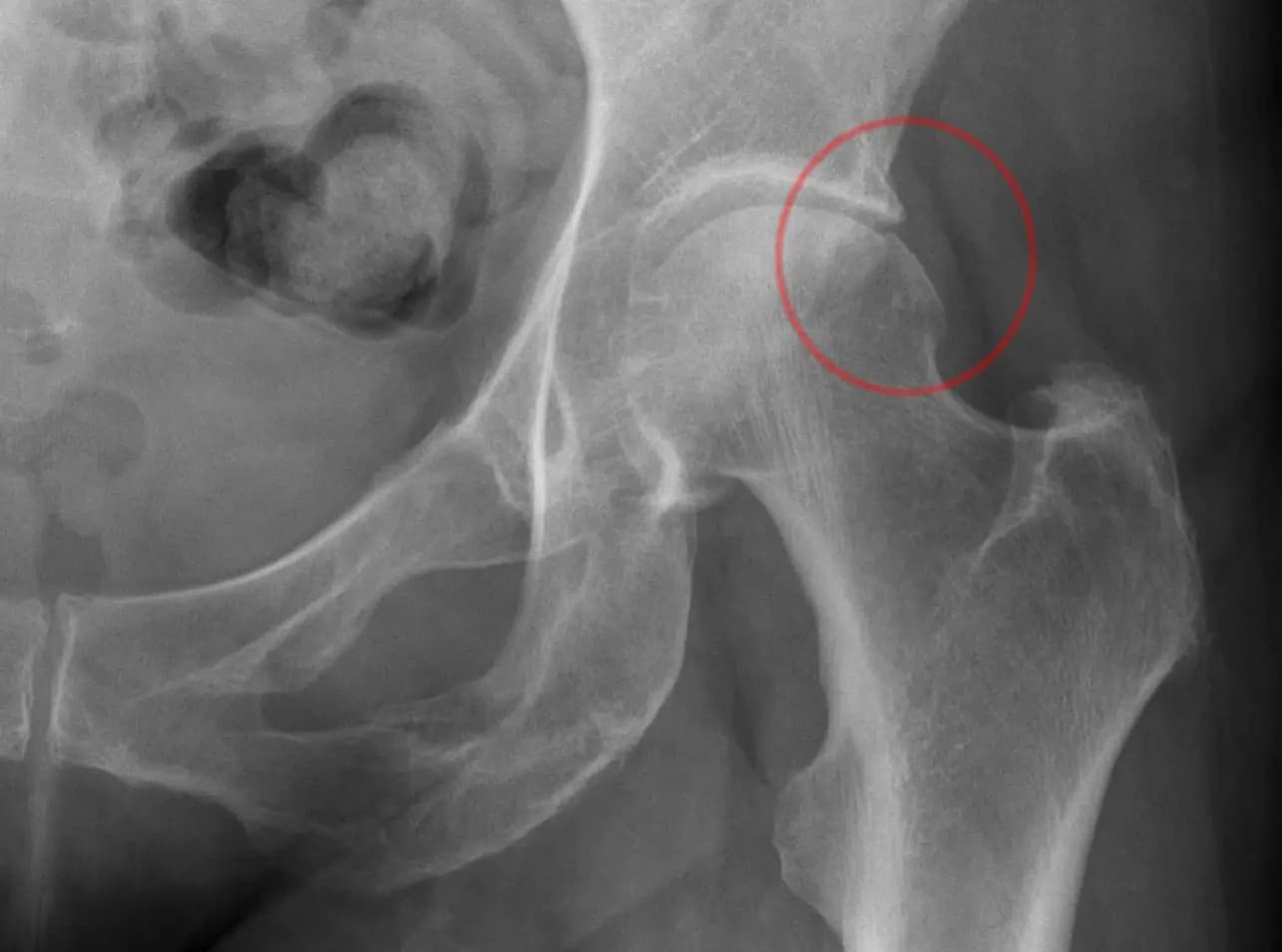
FAS — Tipleri ve mekanizma
FAS temel olarak üç formda görülür:
- Cam (CAM) tipi: Femur başı-boyun bileşkesi tam yuvarlak değildir; femur boynunda oluşan çıkıntı soket kenarıyla sürter. Bu durumda femur başı-soket arasında anormal temas olur ve kıkırdak hasarı gelişir.
- Pincer (kıskaç) tipi: Asetabulum soketi aşırı kaplayıcıdır veya konumlanması değişmiştir; soket kenarı femur başını sıkıştırarak labrumu ezebilir.
- Kombine (mixed) tipi: Hem CAM hem PINCER bulguları bir aradadır; en sık rastlanan formdur.
Bu anormallikler çoğunlukla büyüme döneminde ortaya çıkan yapısal farklılıklara, bazı sporların tekrarlayan hareketlerine veya travmaya bağlıdır.
Kalça Ağrısı Belirtileri ve Ne hissedersiniz?
FAS’ta tipik yakınmalar şunlardır:
- Kasık bölgesinde (inguinal) derin, sıkıştırıcı veya batıcı ağrı; bazen ağrı kalçanın dış kısmına yayılabilir.
- Uzun süre oturma sonrası kalkarken, çömelme, derin squat veya ani dönme hareketlerinde artan ağrı.
- Hareket sırasında tıklama, yakalanma (catching) veya kilitlenme hissi.
- Hareket kısıtlılığı ve sertlik; özellikle kalça iç rotasyonunda azalma.
Erken dönemde ağrı belirsiz olabilir; tedavi geciktikçe aktiviteler kısıtlanır ve kıkırdak hasarı ilerleyebilir.
Kalça Ağrısı Tanı nasıl konulur?
Doğru tanı klinik değerlendirme ve uygun görüntüleme ile konur:
- Hikâye ve fizik muayene: Hekim FADIR (fleksiyon, adduksiyon, internal rotation) gibi impingement testleri ile şüphe oluşturur.
- Röntgen (standart AP ve lateral): Kemik deformitelerini, alfa açısı ve soket örtüsünü gösterir.
- MR / MR arthrogram: Labrum ve kıkırdak lezyonlarını tespit etmek için kullanılır.
- BT (3D rekonstrüksiyon): Cerrahi planlamada kemik malformasyonlarını ayrıntılı gösterir.
Tanı koyulurken bel kaynaklı ağrılar, tendonopatiler ve diğer kalça patolojileri ekarte edilir.
Kalça Ağrısı Tedavi yaklaşımları
Tedavi, ağrının şiddetine, kıkırdak hasarına, hastanın yaşına ve aktivite hedeflerine göre kişiselleştirilir. Öncelikle konservatif (ameliyatsız) yöntemler denenir; bu yöntemler başarısız olursa cerrahi seçenekler değerlendirilir.
Konservatif tedavi
- Aktivite modifikasyonu: Ağrıyı tetikleyen derin çömelme, ani dönme veya sprint gibi hareketlerden kaçınma.
- Fizyoterapi: Kalça abduktor ve eksternal rotator kasların kuvvetlendirilmesi, core stabilizasyonu, hareket kontrolü eğitimi ve esneklik çalışmaları—FAS’ta semptomların düzelmesinde en etkili ilk adımlardan biridir.
- İlaçlar: Kısa süreli NSAİİ’ler (ağrı ve iltihap kontrolü) doktor önerisiyle.
- Enjeksiyonlar: Görüntüleme rehberliğinde intraartiküler steroid veya lokal anestezik enjeksiyonları tanı ve ağrı kontrolünde yardımcı olabilir; bazı merkezlerde hyaluronik asit veya PRP gibi seçenekler değerlendirilir.
Kalça Ağrısı Cerrahi tedavi
Konservatif tedaviden fayda görülmezse veya görüntülemede onarım gerektiren labrum/kıkırdak hasarı tespit edilirse cerrahi düşünülür. Günümüzde artroskopik kalça cerrahisi yaygın ve tercih edilen bir yöntemdir. Amaç: kemik çıkıntılarını düzeltmek (femoroplasti / asetabuloplasti), labrumu onarmak veya rekonstrükte etmek ve gerekli kıkırdak işlemlerini gerçekleştirmektir. Açık cerrahi bazı karmaşık vakalarda veya eşlik eden anatomik problemlerde tercih edilebilir.
Kalça Ağrısı Rehabilitasyon ve sporcu dönüşü
Ameliyat sonrasında erken dönemde kontrollü yük verme, ödem kontrolü ve kademeli güçlendirme programı uygulanır. Rehabilitasyon süreci operasyonun içeriğine göre değişir; genel olarak günlük aktivitelere dönüş haftalar içinde başlasa da spora ve yüksek performansa dönüş 3–6 ayı bulabilir. Başarı, cerrahi tekniğin doğru seçimi, kıkırdak hasarının derecesi ve düzenli rehabilitasyonla yakından ilişkilidir.
Kalça Ağrısı Komplikasyonlar ve uzun vadeli seyir
Erken tanı ve uygun tedavi kıkırdak korunmasında kritik öneme sahiptir. Geç kalınan veya ileri kıkırdak hasarlı olgularda ilerleyici koksartroz gelişebilir ve uzun dönemde total kalça protezi gerekebilir.
Kalça Ağrısı Korunma ve pratik öneriler
- Sporcularda teknik çalışması ve adekvat ısınma/esneme programları uygulayın.
- Kalça ve core kaslarını düzenli güçlendirin.
- Ani yüklenmelerden kaçının; antrenman yoğunluğunu kademeli artırın.
- Uygun spor ayakkabısı ve yüzey seçimine dikkat edin.